歯科矯正 ビフォーアフター(症例写真)|東京銀座ビアンコ矯正歯科

歯科矯正
ビフォーアフター(症例写真)

マウスピース部分矯正プラス+(インビザライン)

出っ歯を4ヶ月半で改善 横顔も整える部分矯正プラス+

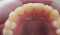
歯科矯正-ビフォーアフター症例写真(マウスピース部分矯正プラス-出っ歯・前歯の部分矯正)
Before
歯科矯正-ビフォーアフター症例写真(マウスピース部分矯正プラス-出っ歯・前歯の部分矯正)
After

前歯をできるだけ内側に動かしたいという患者様のご希望により、部分矯正プラス+(マウスピース矯正)で出っ歯を改善しました。通常の部分矯正(前歯6本)では難しい歯の移動も、部分矯正プラス+(前歯+奥歯の合計10本)によって実現できました。

治療内容:
・出っ歯の改善
・前歯を内側に動かし、口元の出っ張り感を改善
・横顔のバランス(Eライン)を整え、美しい横顔に
・抜歯せずに矯正治療を行うために、歯と歯の間を安全な範囲(0.5mm以下)でわずかに削り、歯を動かすためのスペースを作りました。


治療方法:マウスピース部分矯正プラス+(インビザライン)

上顎のみ、抜歯なし


費用:350,000円(税込 385,000円)

治療期間:4ヶ月半

施術の副作用(リスク):歯の動きに伴う痛みが生じる場合がございます。

患者様:20代 / 女性

部分矯正プラス+の詳細はこちら
コラボ矯正(マウスピース矯正 & 表側ワイヤー矯正)

出っ歯と歯のねじれを改善 横顔も整える口ゴボ(Eライン)矯正

歯科矯正-ビフォーアフター症例写真-矯正前-コラボ矯正-出っ歯・口元の突出感・前歯のねじれ
Before
歯科矯正-ビフォーアフター症例写真-矯正後-コラボ矯正-出っ歯・口元の突出感・前歯のねじれ
After

出っ歯、口元の突出感、前歯のねじれをコラボ矯正で整えました。 「コラボ矯正」は、マウスピース矯正(インビザライン)とワイヤー矯正、それぞれの長所を活かした治療法で、治療期間が短く仕上がりの美しさが特長です。今回の症例では、最初の1年間で表側ワイヤー矯正を行い、その後1年間マウスピース矯正に切り替えて治療を進めました。

治療内容:
・出っ歯の改善
・上の前歯2本のねじれ(翼状捻転)の改善
・前歯を内側に動かし、口元の出っ張り感を改善
・横顔のバランス(Eライン)を整え、美しい横顔に
・上下左右の第一小臼歯を抜歯し、歯を並べるスペースを確保


治療方法:コラボ矯正(マウスピース×表側ワイヤー)・抜歯あり

費用:900,000円(税込 990,000円)

治療期間:2年

施術の副作用(リスク):歯の動きに伴う痛み、知覚過敏。歯肉炎や虫歯が助長される可能性があります。

患者様:30代 / 女性

コラボ矯正の詳細はこちら

ハーフリンガル全体矯正

ハーフリンガル矯正で自然な歯並びへ

歯科矯正-ビフォーアフター症例写真-矯正前-ハーフリンガル矯正-歯のガタつき-正面
Before
歯科矯正-ビフォーアフター症例写真-矯正後-ハーフリンガル矯正-歯のガタつき-正面
After
歯科矯正-ビフォーアフター症例写真-矯正前-ハーフリンガル矯正-歯のガタつき-上顎
Before
歯科矯正-ビフォーアフター症例写真-矯正後-ハーフリンガル矯正-歯のガタつき-上顎
After
歯科矯正-ビフォーアフター症例写真-矯正前-ハーフリンガル矯正-歯のガタつき-下顎
Before
歯科矯正-ビフォーアフター症例写真-矯正後-ハーフリンガル矯正-歯のガタつき-下顎
After

ハーフリンガル矯正は、目立ちやすい上の歯は裏側から、目立ちにくい下の歯は表側に矯正装置を付ける、目立ちにくいワイヤー矯正です。今回の治療では、歯並びのガタつき(叢生)を改善しました。


治療方法:ハーフリンガル全体矯正(ワイヤー矯正)

費用:800,000円(税込 880,000円)

治療期間:2年3ヶ月

施術の副作用(リスク):歯の動きに伴う痛み、歯肉炎を助長させるリスク。

患者様:23歳 / 女性

ハーフリンガル矯正の詳細はこちら

口ゴボ矯正(Eライン矯正)横顔ビフォーアフター

横顔のバランス(Eライン)を整え、美しい横顔に

口ゴボ矯正(Eライン矯正)矯正前後の横顔写真(実際の写真)

口ゴボ矯正の治療前後の横顔比較。口ゴボ(口元の突出感)が改善したことで、横顔(Eライン)のバランスが整い、フェイスラインもすっきりとした印象になります。


治療方法:マウスピース矯正(インビザライン) 抜歯あり


費用:800,000円(税込 880,000円)

治療期間:1年半

施術の副作用(リスク):歯の動きに伴う痛みが生じる場合がございます。

口ゴボ矯正(Eライン矯正)の詳細はこちら

裏側ワイヤー部分矯正

裏側ワイヤー部分矯正で目立たずに治療 6ヶ月で理想の歯並びへ

裏側ワイヤー部分矯正の治療前-正面(症例写真)
Before
裏側ワイヤー部分矯正の治療後-正面(症例写真)
After
裏側ワイヤー部分矯正の治療前-上顎(症例写真)
Before
裏側ワイヤー部分矯正の治療後-上顎(症例写真)
After

歯を並べるスペースを確保するために、歯と歯の間を安全な範囲(0.5mm以下)でわずかに削り、歯を動かすためのスペースを作りました。削る量が0.5mm以下であれば虫歯や知覚過敏に影響はないとされています。


治療方法:裏側ワイヤー部分矯正

費用:350,000円(税込 385,000円)

治療期間:6ヶ月

施術の副作用(リスク):歯の動きに伴う痛み、歯肉炎を助長させるリスク。

患者様:32歳 / 女性

部分矯正の詳細はこちら

表側ワイヤー矯正

出っ歯・歯のガタつき・ねじれを わずか1年で改善

歯科矯正-ビフォーアフター症例写真-矯正前-表側ワイヤー矯正-歯のガタつき
Before
歯科矯正-ビフォーアフター症例写真-矯正後-表側ワイヤー矯正-歯のガタつき
After

治療内容:
・軽度の出っ歯を改善
・歯のガタつき(叢生)の改善
・前歯のねじれ(翼状捻転)の改善


治療方法:表側ワイヤー矯正

費用:650,000円(税込 715,000円)

治療期間:12ヶ月

施術の副作用(リスク):歯の動きに伴う痛み、知覚過敏。歯肉炎や虫歯が助長される可能性があります。

マウスピース矯正(インビザライン)

出っ歯とすきっ歯を抜歯なしで改善。 12ヶ月で自然な歯並びへ

歯科矯正-ビフォーアフター症例写真(マウスピース矯正-出っ歯)
Before
歯科矯正-ビフォーアフター症例写真(マウスピース矯正-出っ歯)
After

上の歯の出っ歯とすきっ歯を、マウスピース矯正(インビザライン)で、抜歯せずに12カ月で改善しました。


治療内容:マウスピース矯正(インビザライン)

両顎(上下)、抜歯なし


費用:750,000円(税込 825,000円)

治療期間:12ヶ月

施術の副作用(リスク):歯の動きに伴う痛み、歯肉炎を助長させるリスク。

患者様:18歳 / 男性

マウスピース矯正(インビザライン)の詳細はこちら →

マウスピース部分矯正プラス+(インビザライン)

ねじれ・ガタつき・横顔・噛み合わせを改善 7ヶ月で綺麗な歯並びへ

歯科矯正-ビフォーアフター症例写真-矯正前-マウスピース矯正(インビザライン)-ねじれ・ガタつき・横顔・噛み合わせ
Before
歯科矯正-ビフォーアフター症例写真-矯正後-マウスピース矯正(インビザライン)-ねじれ・ガタつき・横顔・噛み合わせ
After
歯科矯正-ビフォーアフター症例写真-矯正前-マウスピース矯正(インビザライン)-ねじれ・ガタつき・横顔・噛み合わせ
Before
歯科矯正-ビフォーアフター症例写真-矯正後-マウスピース矯正(インビザライン)-ねじれ・ガタつき・横顔・噛み合わせ
After
歯科矯正-ビフォーアフター症例写真-矯正前-マウスピース矯正(インビザライン)-ねじれ・ガタつき・横顔・噛み合わせ
Before
歯科矯正-ビフォーアフター症例写真-矯正後-マウスピース矯正(インビザライン)-ねじれ・ガタつき・横顔・噛み合わせ
After

部分矯正では難しい症例を、部分矯正プラス+(マウスピース矯正)で改善しました。一般的な部分矯正は前歯6本のみを対象としますが、部分矯正プラス+では奥歯も含めて合計10本の歯を調整することができます。

治療内容:
・上の前歯2本のねじれ(翼状捻転)の改善
・噛み合わせのズレ(咬合)の改善
・下の歯のガタつき(叢生)の改善
・前歯を内側に動かし、口元の出っ張り感を改善
・横顔のバランス(Eライン)を整え、美しい横顔に
・抜歯せずに矯正治療を行うために、歯と歯の間を安全な範囲(0.5mm以下)でわずかに削り、歯を動かすためのスペースを作りました。


治療方法:マウスピース部分矯正プラス+(インビザラン)

両顎(上下)、抜歯なし


費用:540,000円(税込 594,000円)

治療期間:7ヶ月

施術の副作用(リスク):歯の動きに伴う痛みが生じる場合がございます。

患者様:30代 / 男性

部分矯正プラス+の詳細はこちら
マウスピース部分矯正(下顎のみ)

歯のガタつきを5ヶ月で改善

歯科矯正-ビフォーアフター症例写真-矯正前-マウスピース矯正(インビザライン)-歯のガタつき
Before
歯科矯正-ビフォーアフター症例写真-矯正後-マウスピース矯正(インビザライン)-歯のガタつき
After

わずか5ヶ月の短期間で、マウスピース部分矯正(インビザライン)により歯のガタつきを改善し、自然な歯並びに整えました。

治療内容:
・下の歯のガタつき(叢生)の改善
・口元が出ないように、前歯を内側に動かしました。
・抜歯せずに矯正治療を行うために、歯と歯の間を安全な範囲(0.5mm以下)でわずかに削り、歯を動かすためのスペースを作りました。


治療方法:マウスピース部分矯正(インビザライン)・下顎のみ

費用:300,000円(税込 330,000円)

治療期間:5ヶ月

施術の副作用(リスク):歯の動きに伴う痛み、知覚過敏のリスク。

マウスピース矯正(インビザライン)

V字型に狭くなった歯並びを 理想的なU字型歯列に改善

歯科矯正-ビフォーアフター症例写真-矯正前-マウスピース矯正(インビザライン)-出っ歯・がたつき・狭窄歯列弓の改善
Before
歯科矯正-ビフォーアフター症例写真-矯正後-マウスピース矯正(インビザライン)-出っ歯・がたつき・狭窄歯列弓の改善
After
歯科矯正-ビフォーアフター症例写真-矯正前-マウスピース矯正(インビザライン)-出っ歯・がたつき・狭窄歯列弓の改善
Before
歯科矯正-ビフォーアフター症例写真-矯正後-マウスピース矯正(インビザライン)-出っ歯・がたつき・狭窄歯列弓の改善
After

治療内容:
・V字型に狭くなっていた歯並びを、理想的なU字型歯列へ改善。(狭窄歯列弓の改善)
・歯のガタつき(叢生)の改善
・出っ歯の改善
・前歯を内側に動かし、口元の出っ張り感を改善
・横顔のバランス(Eライン)を整え、美しい横顔に
・患者様の「抜歯は最小限にしたい」というご要望により、上の歯1本の抜歯で矯正治療を行いました。


治療方法:マウスピース矯正(インビザライン)

抜歯あり(上顎の前歯1本のみ)


費用:800,000円(税込 880,000円)

治療期間:2年

施術の副作用(リスク):歯の動きに伴う痛み、知覚過敏。歯肉炎や虫歯が助長される可能性があります。

マウスピース矯正(インビザライン)

出っ歯を抜歯せずに改善 1年6ヶ月で自然な歯並びへ

歯科矯正-ビフォーアフター症例写真-矯正前-マウスピース矯正(インビザライン)-出っ歯
Before
歯科矯正-ビフォーアフター症例写真-矯正後-マウスピース矯正(インビザライン)-出っ歯
After
歯科矯正-ビフォーアフター症例写真-矯正前-マウスピース矯正(インビザライン)-出っ歯
Before
歯科矯正-ビフォーアフター症例写真-矯正後-マウスピース矯正(インビザライン)-出っ歯
After

マウスピース矯正(インビザライン)で前歯を内側に入れていくことで、出っ歯を改善しました。

治療内容:
・前歯を内側に動かし、口元の出っ張り感を改善
・横顔のバランス(Eライン)を整え、美しい横顔に
・抜歯せずに矯正治療を行うために、歯と歯の間を安全な範囲(0.5mm以下)でわずかに削り、歯を動かすためのスペースを作りました。


治療方法:マウスピース矯正(インビザライン)

両顎(上下)、抜歯なし


費用:750,000円(税込 825,000円)

治療期間:1年6ヶ月

施術の副作用(リスク):歯の動きに伴う痛みが生じる場合がございます。

患者様:40代 / 男性

マウスピース矯正(インビザライン)の詳細はこちら
部分矯正プラス+(表側ワイヤー矯正)

部分矯正では難しいと他院で断られた方 当院の「部分矯正プラス+」で改善しました

歯科矯正-ビフォーアフター症例写真-矯正前-部分矯正プラス+-前歯の部分矯正
Before
歯科矯正-ビフォーアフター症例写真-矯正後-部分矯正プラス+-前歯の部分矯正
After

通常の部分矯正(前歯6本)では難しい歯の移動も、部分矯正プラス+(前歯+奥歯の合計10本)によって実現できました。

治療方法:表側ワイヤー部分矯正プラス+(上顎のみ)

費用:400,000円(税込 440,000円)

治療期間:5ヶ月

施術の副作用(リスク):歯の動きに伴う痛み、知覚過敏。歯肉炎や虫歯が助長される可能性があります。

マウスピース矯正(インビザライン)

マウスピース矯正で自然な歯並びへ

歯科矯正-ビフォーアフター症例写真-矯正前-マウスピース矯正(インビザライン)-上下の前歯の前後関係が逆になっていた歯並び
Before
歯科矯正-ビフォーアフター症例写真-矯正後-マウスピース矯正(インビザライン)-上下の前歯の前後関係が逆になっていた歯並び
After
歯科矯正-ビフォーアフター症例写真-矯正前-マウスピース矯正(インビザライン)-上下の前歯の前後関係が逆になっていた歯並び
Before
歯科矯正-ビフォーアフター症例写真-矯正後-マウスピース矯正(インビザライン)-上下の前歯の前後関係が逆になっていた歯並び
After
歯科矯正-ビフォーアフター症例写真-矯正前-マウスピース矯正(インビザライン)-上下の前歯の前後関係が逆になっていた歯並び
Before
歯科矯正-ビフォーアフター症例写真-矯正後-マウスピース矯正(インビザライン)-上下の前歯の前後関係が逆になっていた歯並び
After

上下の前歯の前後関係が逆になっていた歯並びを、マウスピース矯正(インビザライン)で抜歯せずに改善しました。


治療方法:マウスピース全体矯正(インビザラン)

両顎(上下)、抜歯なし


費用:750,000円(税込 825,000円)

治療期間:14ヶ月

施術の副作用(リスク):歯の動きに伴う痛みが生じる場合がございます。

患者様:26歳 / 女性

マウスピース矯正(インビザライン)の詳細はこちら

裏側ワイヤー全体矯正

裏側矯正で出っ歯を改善 装置が見えず、目立たない矯正治療

裏側ワイヤー全体矯正の治療前(症例写真)
Before
裏側ワイヤー全体矯正の治療後(症例写真)
After
裏側ワイヤー全体矯正の治療前(症例写真)
Before
裏側ワイヤー全体矯正の治療後(症例写真)
After

上下ともに前歯が出ていましたが、上下左右の第一小臼歯を抜歯し、上下の前歯を内側に下げました。横顔、Eラインも改善しています。


治療方法:裏側ワイヤー全体矯正(上下左右の第一小臼歯を抜歯)

費用:1,000,000円(税込1,100,000円)

治療期間:2年3ヶ月

施術の副作用(リスク):歯の動きに伴う痛み、歯肉炎を助長させるリスク。

患者様:21歳 / 女性

裏側ワイヤー矯正の詳細はこちら

コラボ矯正(マウスピース矯正 & 表側ワイヤー矯正)

歯のガタつき・中心のずれを改善 コラボ矯正で左右のバランスを整える

歯科矯正-ビフォーアフター症例写真-矯正前-コラボ矯正(マウスピース矯正×ワイヤー)-歯のガタつき
Before
歯科矯正-ビフォーアフター症例写真-矯正後-コラボ矯正(マウスピース矯正×ワイヤー)-歯のガタつき
After

「コラボ矯正」は、マウスピース矯正(インビザライン)とワイヤー矯正、それぞれの長所を活かした治療法です。
前半は、抜歯によって生まれたスペースを活用し、ワイヤー矯正で大きく歯を動かすことで、歯並びの乱れを早期に整えました。後半はマウスピース矯正で、見た目や噛み合わせを細かく仕上げ、治療期間の短縮と美しい仕上がりの両立を実現しています。

治療内容:
・歯のガタつき(叢生)の改善
・歯並びの中心のずれを改善(正中改善)
・八重歯の改善
・上下左右の第一小臼歯を抜歯し、歯を並べるスペースを確保


治療方法:コラボ矯正(マウスピース矯正 & 表側ワイヤー矯正)

両顎(上下)、抜歯あり


費用:800,000円(税込 880,000円)

治療期間:2年3ヶ月

施術の副作用(リスク):歯の動きに伴う痛み、知覚過敏。歯肉炎や虫歯が助長される可能性があります。

ラミネートベニア(ジルコニア)

歯の変色が気になる方へ。 ラミネートベニアで自然な仕上がりに

歯科矯正-ビフォーアフター症例写真-ラミネートベニア-前歯1本の歯の変色-治療前
Before
歯科矯正-ビフォーアフター症例写真-ラミネートベニア-前歯1本の歯の変色-治療後
After

前歯に施した過去の虫歯治療(プラスチックによる補修)が、経年変化で変色し、他の歯と色味が合わなくなっていました。 前歯1本だけが浮いたように見える状態だったため、自然な見た目を取り戻す目的で、ラミネートベニア(ジルコニア製)による審美修復を行いました。

治療内容:
・変色がある前歯1本を審美的に改善
・削る範囲は最小限に抑え、歯の表面を整形
・周囲の歯と調和する色と形を再現するため、綿密な色合わせを行い、自然な仕上がりに
・強度と自然な透明感を兼ね備えたジルコニア素材を使用


治療方法:ラミネートベニア(1本)

歯を少し削るラミネートベニア / 素材:ジルコニアセラミック


費用:90,000円(税込 99,000円)

治療期間:1日(セラミックの作成に3週間かかります。)

施術の副作用(リスク):歯の表面を削って整える処置が必要です。

患者様:20代 / 女性

オールセラミック(前歯1本)

神経を失った前歯1本を オールセラミックで自然な色味に

治療前
Before
治療後
After

神経を失った前歯1本(左上)を、オールセラミックで周囲の歯の色に合わせて、自然な色味に仕上げました。

治療内容:
・オールセラミックを使用し、自然な色味と質感に
・プレミアムタイプで、歯の先端の透明感や細かな模様まで再現した、審美性の高い仕上がりに。


治療方法:オールセラミック歯(プレミアムクラウン・レイヤー法)

費用:100,000円(税込 110,000円)

治療期間:1日(セラミックの作成に3週間かかります。)

施術の副作用(リスク):歯の表面を削って整える処置が必要です。事前に神経や土台の処置が必要になることがあります。

裏側ワイヤー全体矯正

前歯のねじれ・ガタつき・噛み合わせを改善。 裏側矯正で目立たない治療

歯科矯正-ビフォーアフター症例写真-矯正前-コラボ矯正(マウスピース矯正×ワイヤー)-歯のガタつき
Before
歯科矯正-ビフォーアフター症例写真-矯正後-コラボ矯正(マウスピース矯正×ワイヤー)-歯のガタつき
After

治療内容:
・前歯のねじれ(捻転)の改善
・歯のガタつき(叢生)の改善
・噛み合わせの改善
・抜歯せずに矯正治療を行うために、歯と歯の間を安全な範囲(0.5mm以下)でわずかに削り、歯を動かすためのスペースを作りました。


治療方法:裏側ワイヤー全体矯正(両顎(上下)、抜歯なし)

費用:850,000円(税込 935,000円)

治療期間:1年2ヶ月

施術の副作用(リスク):歯の動きに伴う痛み、知覚過敏。歯肉炎や虫歯が助長される可能性があります。

無料カウンセリング実施中

無料カウンセリング

東京銀座ビアンコ矯正歯科では、無料カウンセリングを実施しています。患者様一人ひとりのお悩みにしっかりと向き合い、それぞれのお悩みに適した最善の治療法を提案させていただきます。歯並びだけでなく、Eラインなどお顔とのバランスも考えながら治療していきます。患者様が目指す理想の歯並びを一緒に作っていきましょう。

※通常1時間ほどお時間をいただいておりますが、短縮カウンセリングも可能です。ご予約時にお伝えください。

  • 銀座駅3分
  • 平日20時まで・土日診療
監修歯科医師紹介
歯科医師 松田 祐一郎 先生

東京銀座ビアンコ矯正歯科

院長 松田 祐一郎 先生

歯科医師 相木 佑子 先生

東京銀座ビアンコ矯正歯科

歯科医師 相木 佑子 先生

歯科医師紹介はこちら

ACCESS

〒104-0061
東京都中央区銀座2丁目8-17 ハビウル銀座Ⅱビル7F
銀座駅徒歩3分

TEL:03-6263-0438

診療日 診療時間
月・水・木・金 12:00~15:00、16:00~20:00
火曜日 11:00~15:00、16:00~20:00
土曜日 11:00~14:00、15:00~19:00
日曜日 11:00~14:00、15:00~18:00

休診日:祝日 ※臨時休診あり

東京銀座ビアンコ矯正歯科 ロゴ